勋博生物慢加急性肝衰模型
一、猪血清联合D-氨基半乳糖、脂多糖诱导慢加急肝衰模型
勋博生物猪血清联合D-氨基半乳糖(D-GaIN)、脂多糖(LPS)诱导慢加急肝衰模型构建方法是一种模拟人类慢加急性肝衰竭(ACLF)发病过程的实验手段。以下是该模型的构建方法:
一、实验材料
- 实验动物:通常选用大鼠,因其生理和生化特性与人类相似,且易于饲养和操作。
- 试剂与药品:猪血清,D-氨基半乳糖(D-GaIN),脂多糖(LPS),生理盐水,以及其他实验所需的器械和注射设备等。
二、实验步骤
- 慢性肝损伤诱导:
- 通过腹腔注射的方式,按照预定的剂量和频率将猪血清注入大鼠体内,持续数周至数月。猪血清中的某些成分可以诱导大鼠出现慢性肝损伤,形成慢性肝病的基础。
- 注射剂量和频率需根据大鼠的体重、年龄和实验需求进行精确计算和控制。
- 急性损伤诱导:
- 在慢性肝损伤的基础上,通过尾静脉注射的方式给予大鼠D-氨基半乳糖(D-GaIN)和脂多糖(LPS)的混合溶液,进行急性损伤诱导。
- D-GaIN是一种特异性的肝脏致敏剂,能够参与肝细胞代谢并特异地消耗尿嘧啶,进而导致依赖其进行生物合成的核酸、糖蛋白和糖脂等物质减少,使肝细胞的结构和功能均出现异常甚至死亡。LPS是内毒素的主要结构和毒性作用成分,可诱导TNF-α、IL-1和IL-6等细胞因子的过量表达而使肝细胞凋亡,导致肝组织损伤。
- 注射剂量也需根据大鼠的体重和实验需求进行精确计算。注射后,密切观察大鼠的行为学变化、体重变化、精神状态及生存状态等。
- 模型观察与评估:
- 在急性损伤诱导后预定的时间点(如数小时至数天),处死大鼠并取出肝脏组织进行组织学观察、生化指标检测等,以评估慢加急肝衰模型的建立情况。
- 组织学观察可以评估肝脏组织的形态和结构变化,如肝细胞坏死、纤维化、炎症细胞浸润等。生化指标检测可以评估肝功能指标(如ALT、AST、TBil等)的变化情况。

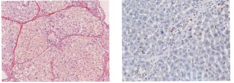
狼红染色,示给药后4 h小片状坏死|狼红染色,给药8 h坏死灶增多融合

给药后12 h实质大块或亚大块坏死| TUNEL染色,给药后8 h多见凋亡肝细胞

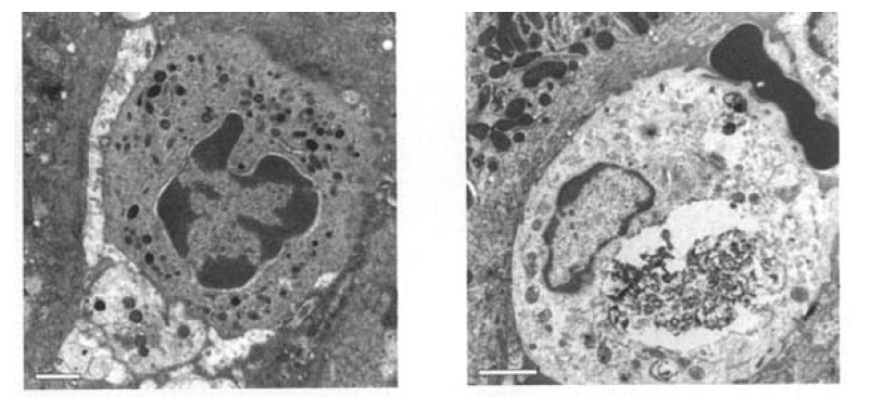
射电镜观察慢加急性肝衰竭模型大鼠肝脏超微结构
三、注意事项
- 试剂纯度与剂量:确保所使用的猪血清、D-GaIN和LPS等试剂具有较高的纯度,并按照实验需求进行精确计算和控制剂量。
- 注射操作技巧:腹腔注射和尾静脉注射过程中需确保注射针头正确插入并避免损伤血管或内脏器官。同时,注射速度要缓慢均匀,以免刺激大鼠产生剧烈反应。
- 动物福利与伦理:在实验过程中需遵循动物福利原则和伦理规范,确保大鼠得到适当的饲养和护理。在实验结束后,应按照相关规定对大鼠进行妥善处理。
四、模型特点与应用
- 模型特点:该模型能够较好地模拟人类慢加急性肝衰竭的病理过程,包括慢性肝损伤的形成、急性损伤的诱导以及肝脏组织的形态和结构变化等。同时,该模型具有诱发因素明确、操作方法简便、实验重复性好等优点。
- 应用:该模型广泛应用于慢加急性肝衰竭的发病机制、药物治疗效果、肝脏保护机制等方面的研究。通过该模型可以筛选具有抗肝衰竭作用的药物或治疗方法,并评估其疗效和安全性。同时,该模型还可以用于研究肝脏损伤与修复机制、炎症反应及免疫调节等问题。
五、模型总结:猪血清联合D-氨基半乳糖、脂多糖诱导慢加急肝衰模型构建方法是一种可靠且常用的实验手段,可用于研究慢加急性肝衰竭的相关问题。在实验过程中需注意细节控制,以确保实验结果的准确性和可靠性。
二、四氯化碳联合D-氨基半乳糖/脂多糖诱导慢加急性肝衰模型
勋博生物基于细胞色素P450代谢激活机制,CCl₄经CYP2E1转化为·CCl₃自由基,攻击肝细胞膜引发脂质过氧化,持续诱导肝纤维化。联合D-Gal/LPS急性攻击后,D-Gal阻断糖代谢通路致肝细胞能量衰竭,LPS通过TLR4激活NF-κB通路放大炎症反应,最终导致肝硬化背景下的急性肝细胞溶解坏死。
一、实验材料
- 动物:C57BL/6小鼠或SD大鼠(雌雄各半),前者用于基因机制研究。
- 材料设备:四氯化碳(CCl4),D-氨基半乳糖(D-GaIN),脂多糖(LPS),橄榄油(用于配制CCl4溶液),生理盐水,以及其他实验所需的器械和灌胃设备等。颅内压监测仪(用于昏迷预警)。
二、实验步骤
- CCl4溶液配制:将CCl₄与橄榄油按一定比例混合,配制成适当浓度的CCl₄橄榄油溶液。常用浓度范围需根据实验需求进行设定。
- 慢性损伤诱导:通过腹腔注射的方式,按照预定的剂量和频率将CCl₄橄榄油溶液注入小鼠体内,持续数周至数月,以诱导肝脏的慢性损伤。注射剂量和频率需根据小鼠的体重和实验需求进行精确计算和控制。
- 急性攻击:在慢性损伤的基础上,通过腹腔注射的方式给予小鼠D-氨基半乳糖(D-GaIN)和脂多糖(LPS)的混合溶液,进行急性攻击。D-GaIN和LPS的剂量也需根据小鼠的体重和实验需求进行精确计算。注射后,密切观察小鼠的行为学变化、体重变化等一般情况。

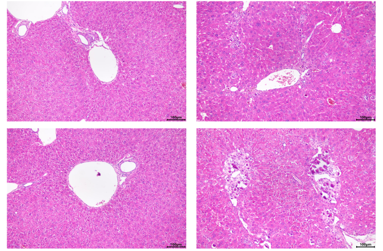
肝组织HE染色
三、注意事项
- 毒性控制:CCl₄注射后24小时内需补充10%葡萄糖盐水,预防肾毒性。
- 种属差异:大鼠需D-Gal 2 g/kg而小鼠仅需0.4 g/kg,过量可致非肝特异性损伤。
- 替代方案:对CCl₄耐受者可改用硫代乙酰胺(TAA)100 mg/kg每周3次。
四、模型特点与应用
- 特点:该模型能够较好地模拟人类慢加急性肝衰竭的病理过程,包括肝脏组织的形态和结构变化、肝功能指标的异常等。同时,该模型具有诱发因素明确、操作方法简便、实验重复性好等优点。
- 分子机制明确:电镜显示线粒体嵴断裂(攻击后6h)到核固缩(24h)的动态超微结构改变。
- 应用:该模型广泛应用于慢加急性肝衰竭的发病机制、药物治疗效果、肝脏保护机制等方面的研究。通过该模型可以筛选具有抗肝衰竭作用的药物或治疗方法,并评估其疗效和安全性。同时,该模型还可以用于研究肝脏损伤与修复机制等问题。
五、模型总结:本模型具有慢性病变进展可控、急性肝衰发作迅速的独特优势。勋博生物数据表明,联合攻击后24小时ALT峰值达(1354±491)U/L,72小时死亡率90%,显著优于单一急性肝衰模型。适用于肝衰竭动态机制研究和药物时效性评价。
注: 以上数据来源于
- 《中华肝脏病杂志》doi:10.3760/j.issn:1007-3418.2007.10.008;
- 《中国比较医学杂志》doi:10.3969/j.issn.1671-7856.2013.04.002;
- 《临床肝胆病杂志》doi:10.3969/j.issn.1001-5256.2010.05.005。
