勋博生物梗阻性黄疸模型
胆总管结扎构建梗阻性黄痘模型实验服务
勋博生物梗阻性黄疸模型胆总管结扎(Common Bile Duct Ligation, CBDL)是模拟人类梗阻性黄疸病理过程的经典实验方法,通过机械性阻断胆汁引流,引发黄疸及肝功能损伤。该模型在肝胆疾病研究中具有不可替代的价值,但其应用需结合研究目标优化动物选择、操作技术和评价体系。
一、实验原理
通过手术结扎胆总管造成胆道完全梗阻,导致胆汁淤积、胆红素反流入血,引发典型梗阻性黄疸症状(如皮肤巩膜黄染、肝细胞坏死)。该模型可模拟人类由结石、肿瘤或胆管狭窄导致的黄疸病理特征,包括肝功能生化指标异常(如胆红素、转氨酶升高)、肝纤维化及胆管增生等。
二、实验材料
- 实验动物选择:大鼠(SD或Wistar):最常用,成本低、手术操作成熟,但术后14天可能自发缓解,与人类慢性进程存在差异。兔的胆总管解剖更接近人类,适用于长期观察,但死亡率较高。小鼠(Balb/c)适用于基因研究,术后3天血清胆红素达峰,7天内病理变化显著。
- 手术器械与耗材。除常规器械(显微镊、持针器)外,建议使用双极电凝减少术中出血,聚乙烯插管用于部分梗阻模型。
- 麻醉与消毒,戊巴比妥钠腹腔注射为首选,需严格剂量控制(30–50 mg/kg)以避免呼吸抑制。、
三、实验步骤
- 动物准备:将实验动物称重并标记,术前禁食禁水一段时间(如12小时)。进行麻醉处理,确保动物在手术过程中处于无痛状态。
- 手术操作:构建慢性模型,采用胆总管电凝法代替结扎,形成渐进性纤维狭窄,更贴近良性梗阻病理,,之后选择性引流:结扎胆总管后留置肝叶胆管外引流管,模拟临床减黄手术。肝门部接种Walker-256瘤株,建立恶性梗阻模型(成功率73.3%)。
- 术后护理:预防性抗生素(如头孢唑林)连用3天,降低腹腔感染风险。补充葡萄糖盐水(5 mL/100g)纠正脱水,维持体温避免应激。

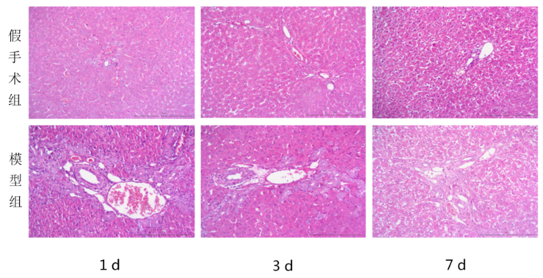
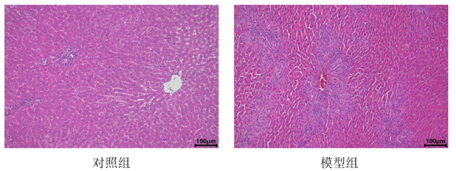
大体观察

肝胆大体观察

ELISA检测

肝组织HE染色

肝组织HE染色

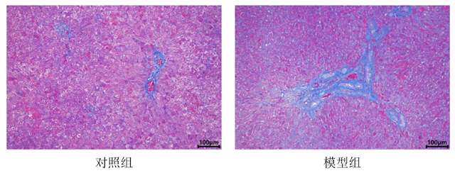
肝组织Massson染色
- 动态评估指标
在预定的时间点(如术后数天或数周),处死动物并取出肝脏组织进行病理学检查。观察肝脏的形态学变化,如肝小叶结构失常、纤维组织增生等。可采用血清学检测等方法评估肝功能的变化,如胆红素、转氨酶等指标。同时,可观察动物的黄疸情况,如皮肤、巩膜黄染等。详细如下表
| 时间点 | 核心观测指标 | 病理特征 |
|---|---|---|
| 术后3–7天 | 血清TBIL、ALT峰值,胆管直径扩张 | 肝细胞气球样变,小胆管增生 |
| 术后14天 | TBIL回落,ALP持续升高 | 纤维间隔形成,早期肝硬化 |
| >21天(慢性) | 波动性黄疸,胆管代偿性扩张 | 广泛纤维化,胆管上皮化生 |
四、模型评价
- 病理还原度高:肝超微结构改变(线粒体脊断裂、毛细胆管胆泥淤积)与人类高度一致。恶性梗阻模型中可见胆管癌细胞浸润及转移灶。
- 适用性广:用于药物筛选(如丹参抑制VEGF表达)、免疫研究(热应激改善CD4+/CD8+比值)。介入治疗验证(如经皮胆管-胃引流术显著降低猪死亡率)。
五、模型应用前沿
- 手术操作要精细:胆总管结扎手术需精细操作,避免损伤周围血管和神经。结扎时要确保胆道完全梗阻,同时避免过度牵拉胆总管导致破裂。
- 术后护理要到位:手术后需给予动物适当的抗生素以预防感染,并观察其恢复情况。如出现异常情况,需及时处理。
- 模型评估要准确:在模型评估时,需采用多种方法综合判断,包括病理学检查、血清学检测等。同时,需注意动物间的个体差异,确保实验结果的准确性和可靠性。
- 实验伦理要遵循:在实验过程中需严格遵循动物伦理原则,确保动物的福利和权益得到保障。
六、模型结论:胆总管结扎模型仍是梗阻性黄疸研究的基石,但需根据实验目标选择物种并优化技术。慢性建模与跨物种验证是未来重点,尤其在恶性梗阻机制和联合治疗策略领域。
