勋博生物肝损伤模型
一、对乙酰氨基酚诱导急性肝损伤模型碘实验服务
勋博生物对乙酰氨基酚(Paracetamol,APAP)诱导急性肝损伤模型构建方法是一种常用的实验手段,用于模拟人类因过量服用对乙酰氨基酚而导致的急性肝损伤。
一、实验原理
对乙酰氨基酚在体内代谢过程中,会生成活性中间代谢物N-乙酰-对苯醌亚胺(NAPQI),正常剂量下,NAPQI可被体内的还原型谷胱甘肽(GSH)解毒。然而,当对乙酰氨基酚过量时,生成的NAPQI超过了GSH的解毒能力,未被清除的NAPQI会与生物大分子共价结合,导致蛋白质巯基被氧化和芳香基化,从而影响其功能,引发肝细胞变性坏死,最终导致急性肝损伤。
二、实验材料
-
- 实验动物:通常选用小鼠或大鼠,因其易于饲养、繁殖快且对对乙酰氨基酚敏感。常用8周龄,体重在20~30g或22±2g左右的小鼠。
- 对乙酰氨基酚溶液:将对乙酰氨基酚溶于温水(如40℃或60~70℃的无菌生理盐水)中,配置成所需浓度的溶液。注意对乙酰氨基酚难溶于水,配制过程需在温水中进行,并充分搅拌以确保溶解。
- 其他材料:如注射器、灌胃针、无菌水、生理盐水、麻醉药物、消毒用品、血清学检测试剂盒、病理学检查所需试剂等。
三、实验步骤
-
- 动物准备:将实验动物称重并标记。术前禁食一段时间(如12小时),不禁水。进行麻醉处理(如需要),确保动物在给药过程中处于稳定状态。但需注意,一些常用的麻醉剂可能加重对乙酰氨基酚的肝毒性,如硫喷妥钠、戊巴比妥钠等巴比妥钠类药物和氟烷,应谨慎选择。
- 对乙酰氨基酚给药:根据动物的体重和实验设计,计算所需的对乙酰氨基酚溶液剂量。常用剂量范围在小鼠中为300~500mg/kg体重,大鼠中可能有所不同,但通常也在这个范围内。采用腹腔注射或灌胃等给药方式,将对乙酰氨基酚溶液注入动物体内。腹腔注射是最常用的给药方式,因其操作简便且药物吸收快。灌胃给药时,需将对乙酰氨基酚溶液配制成适宜的浓度和体积,以确保给药量准确。记录给药时间,以便后续观察和分析。
- 对照组设置:设置对照组动物,给予相同体积的生理盐水或其他溶剂,以排除溶剂对实验结果的影响。
- 观察与记录:
- 连续观察动物的一般状况,如活动情况、饮食情况、体重变化等。
- 记录动物中毒死亡的时间(如需要)。
- 定时抽取血液样本进行血清学检测,测定肝功能指标如谷丙转氨酶(ALT)、谷草转氨酶(AST)、总胆红素(TBIL)等的变化。
- 在预定的时间点(如给药后数小时或数天),处死实验动物并取出肝脏组织进行病理学检查。

各组小鼠血清ALT水平;
B:各组小鼠血清AST水平。C组:空白对照组;S组:假手术组;
A组:肝损伤组;R组:远端缺血预处理组

各组小鼠血清AST水平;
B:各组小鼠血清AST水平。C组:空白对照组;S组:假手术组;
A组:肝损伤组;R组:远端缺血预处理组

各组小鼠血清TNF-a水平;
B:各组小鼠血清AST水平。C组:空白对照组;S组:假手术组;
A组:肝损伤组;R组:远端缺血预处理组

各组小鼠血清IL-6水平;
B:各组小鼠血清AST水平。C组:空白对照组;S组:假手术组;
A组:肝损伤组;R组:远端缺血预处理组
四、病理学检查与评估
-
- 形态学观察:观察肝脏的形态学变化,如肝小叶结构失常、肝细胞变性坏死等。可采用HE染色等方法进行组织学观察。
- 生化指标检测:检测血清中的肝功能指标,如ALT、AST、TBIL等,以评估肝功能的变化。这些指标的变化可以反映肝细胞的损伤程度。
- 其他检测:根据需要,还可以进行其他检测,如凝血功能检测、电解质检测等,以全面评估肝损伤的程度和范围。


各组小鼠肝组织ROS水平;
B:各组小鼠血清AST水平。C组:空白对照组;S组:假手术组;
A组:肝损伤组;R组:远端缺血预处理组

各组小鼠肝组织GSH水平;
B:各组小鼠血清AST水平。C组:空白对照组;S组:假手术组;
A组:肝损伤组;R组:远端缺血预处理组

各组小鼠肝组织SOD水平;
B:各组小鼠血清AST水平。C组:空白对照组;S组:假手术组;
A组:肝损伤组;R组:远端缺血预处理组

各组小鼠肝组织MDA水平;
B:各组小鼠血清AST水平。C组:空白对照组;S组:假手术组;
A组:肝损伤组;R组:远端缺血预处理组

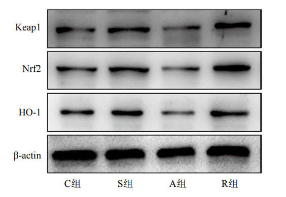
各组小鼠肝组织Keep1\Nrf2\HO-1等蛋白WB检测;
B:各组小鼠血清AST水平。C组:空白对照组;S组:假手术组;
A组:肝损伤组;R组:远端缺血预处理组

各组小鼠肝组织Keep1\Nrf2\HO-1等蛋白表达柱状图;
B:各组小鼠血清AST水平。C组:空白对照组;S组:假手术组;
A组:肝损伤组;R组:远端缺血预处理组
五、注意事项
-
- 给药剂量与时间:对乙酰氨基酚的给药剂量和时间需根据实验设计严格控制。剂量过低可能难以诱发急性肝损伤,而剂量过高可能导致动物死亡或并发其他肝外病变。因此,在进行实验前应进行预实验,以确定合适的剂量范围。
- 给药方式:不同的给药方式可能对实验结果产生影响。腹腔注射是最常用的给药方式,但也可根据实验需求选择其他给药方式,如灌胃等。需要注意的是,灌胃给药时可能需要对对乙酰氨基酚溶液进行适当调整,以确保给药量准确且动物易于接受。
- 动物状态监测:在实验过程中需定期观察动物的状态,及时记录异常情况并处理。如出现体重下降、活动减少、食欲不振等异常情况,需及时调整给药剂量或停止给药。
- 病理学检查:在模型评估时,需采用多种病理学检查方法综合判断,以确保实验结果的准确性和可靠性。同时,需注意动物间的个体差异,对实验结果进行统计分析。
- 实验伦理:在实验过程中需严格遵循动物伦理原则,确保动物的福利和权益得到保障。在实验结束后,应对动物进行妥善处理。
六、模型特点与应用
-
- 模型特点:对乙酰氨基酚诱导的急性肝损伤模型具有制模方法相对简单、成本较低、病变典型等优点。同时,该模型能够较好地模拟人类因过量服用对乙酰氨基酚而导致的急性肝损伤的病理过程,因此具有广泛的应用价值。
- 应用:该模型广泛应用于急性肝损伤的发病机制研究、药物筛选和治疗策略评估等方面。通过该模型可以筛选具有保肝作用的药物或治疗方法,并评估其疗效和安全性。同时,该模型也可用于研究急性肝损伤与肝纤维化、肝硬化等病理过程的关系,为临床治疗和预防提供实验依据。
七、模型总结
对乙酰氨基酚诱导急性肝损伤模型构建方法是一种可靠且常用的实验手段,可用于研究急性肝损伤的相关问题。在实验过程中需注意细节控制,以确保实验结果的准确性和可靠性。
注:以上数据来源于肝胆胰外科杂志doi:10.11952/j.issn.1007-1954.2021.12.008
二、TAA诱导肝损伤模型实验服务
勋博生物TAA(硫代乙酰胺)诱导肝损伤模型构建方法是一种常用的实验手段,用于模拟人类肝损伤的病理过程。
一、实验原理
TAA进入细胞内后,被细胞色素氧化酶P450氧化生成自由基,自由基与膜脂质结合,诱发脂质过氧化破坏膜,造成肝细胞的变性坏死。此外,TAA还可能延长肝细胞有丝分裂过程,阻碍RNA从胞核到胞质的转移,影响依赖酶的代谢过程,最终形成肝细胞坏死。通过TAA诱导,可以构建出具有典型肝损伤特征的动物模型。
二、实验材料
-
- 实验动物:通常选用大鼠或小鼠,因其易于饲养、繁殖快且对TAA敏感。
- TAA溶液:将TAA溶于生理盐水或其他适宜的溶剂中,配置成所需浓度的溶液。
- 其他材料:如注射器、灌胃针、无菌水、生理盐水、麻醉药物、消毒用品、血清学检测试剂盒、病理学检查所需试剂等。
三、实验步骤
-
- 动物准备:将实验动物称重并标记,术前禁食一段时间(如12~24小时),不禁水。进行麻醉处理,确保动物在手术或给药过程中处于无痛状态。
- TAA给药:
- 根据动物的体重和实验设计,计算所需的TAA溶液剂量。常用剂量范围在大鼠和小鼠中均为50~200mg/kg体重,但具体剂量可能因实验需求而异。
- 采用腹腔注射、皮下注射或灌胃等给药方式,将TAA溶液注入动物体内。腹腔注射是最常用的给药方式。
- 给药时间间隔和次数可根据实验设计进行调整,通常连续给药数天至数周。
- 对照组设置:设置对照组动物,给予相同体积的生理盐水或其他溶剂,以排除溶剂对实验结果的影响。
- 样本收集与检测:
- 在预定的时间点(如给药结束后),处死实验动物并收集血液和肝脏组织样本。
- 进行血清学检测,如测定血清中的谷丙转氨酶(ALT)、谷草转氨酶(AST)等肝功能指标,以评估肝功能的变化。
- 进行病理学检查,如HE染色、Masson染色等,观察肝脏的形态学变化,如肝细胞变性坏死、纤维组织增生等。

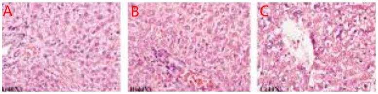
各组大鼠肝组织病理学表现(HE,40×)
A:正常对照组;B:急性肝损伤1周组;C:急性肝损伤2周组

各组血清 CD105 和 VEGF 水平比较,与对照组比,①P<0.05,②P<0.01
四、注意事项
-
- 给药剂量与时间:TAA的给药剂量和时间需根据实验设计严格控制,以避免动物死亡或模型不稳定。在初次实验时,建议采用较低的剂量进行预实验,以确定合适的剂量范围。
- 给药方式:不同的给药方式可能对实验结果产生影响。腹腔注射是最常用的给药方式,因其操作简便且药物吸收快。但也可根据实验需求选择其他给药方式,如皮下注射或灌胃。
- 动物状态监测:在实验过程中需定期观察动物的状态,记录体重、活动情况、饮食情况等指标,以及时处理异常情况。如出现体重下降、活动减少、食欲不振等异常情况,需及时调整给药剂量或停止给药。
- 病理学检查:在模型评估时,需采用多种病理学检查方法综合判断,以确保实验结果的准确性和可靠性。同时,需注意动物间的个体差异,对实验结果进行统计分析。
- 实验伦理:在实验过程中需严格遵循动物伦理原则,确保动物的福利和权益得到保障。在实验结束后,应对动物进行妥善处理。
五、模型特点与应用
-
- 模型特点:TAA诱导的肝损伤模型具有制模方法相对简单、成本较低、病变典型等优点。同时,该模型也存在一些缺点,如动物死亡率较高(尤其是在高剂量给药时)、个体差异较大等。因此,在实验过程中需严格控制实验条件,以确保实验结果的稳定性和可靠性。
- 应用:该模型广泛应用于肝损伤的发病机制研究、药物筛选和治疗策略评估等方面。通过该模型可以筛选具有保肝作用的药物或治疗方法,并评估其疗效和安全性。同时,该模型也可用于研究肝损伤与肝纤维化、肝硬化等病理过程的关系,为临床治疗和预防提供实验依据。
六、模型总结
TAA诱导肝损伤模型构建方法是一种可靠且常用的实验手段,可用于研究肝损伤的相关问题。在实验过程中需注意细节控制,以确保实验结果的准确性和可靠性。
注:上述数据实用肝脏病杂志doi:10.3969/j.issn.1672-5069.2018.02.008
