勋博生物胰腺纤维化模型
TNBS诱导慢性胰腺纤维化模型实验服务
勋博生物TNBS(2,4,6-三硝基苯磺酸)是一种强效半抗原,通过胰管内注射可诱导胰腺组织发生免疫介导的慢性炎症反应。其机制涉及TNBS与胰腺组织蛋白结合形成完全抗原,激活Th1型免疫应答,招募巨噬细胞和中性粒细胞释放活性氧自由基及蛋白酶(如基质金属蛋白酶),导致腺泡细胞坏死。随后,损伤相关分子模式(DAMPs)激活胰腺星状细胞(PSCs),促使后者转化为肌成纤维细胞表型,大量分泌Ⅰ型/Ⅲ型胶原、纤连蛋白等细胞外基质(ECM)成分,同时上调转化生长因子-β1(TGF-β1)和血管紧张素Ⅱ(AngⅡ)通路,最终形成进行性纤维化。该过程模拟人类慢性胰腺炎的病理特征,包括腺体萎缩、导管扩张及间质胶原沉积。
一、实验材料
- 实验动物:通常选用大鼠,如SD大鼠或Wistar大鼠,需确保其体重、年龄相近,并适应实验室环境。
- 试剂与药品:主要试剂:TNBS(2% w/v)溶解于10%乙醇-磷酸盐缓冲液(PBS, pH 7.4),戊巴比妥钠(40 mg/kg腹腔注射4%多聚甲醛
- 仪器设备:显微外科器械、微量输液泵(注射速率0.01 ml/min)、26G穿刺针。以及实验所需的器械,如注射针头、微泵、动脉夹等。
二、实验步骤
- 动物准备:在实验前对动物进行适应性饲养,通常至少7天。在实验开始前对动物进行禁食处理,但不禁水,禁食时间根据实验需求确定。
- 术前准备:大鼠禁食12小时,称重后以戊巴比妥钠麻醉,仰卧位固定于手术台,腹部剃毛消毒。
- 麻醉与消毒:使用麻醉剂对动物进行腹腔注射麻醉,麻醉剂量需根据动物体重和麻醉剂种类进行精确计算。麻醉后,将动物腹部皮肤用碘酒或其他消毒剂进行消毒。
- 手术操作:沿腹中线切开腹腔,暴露十二指肠及胆胰管汇合部。以微动脉夹暂时夹闭肝门端胆管,用26G针头穿刺胆胰管远端,连接微量输液泵缓慢灌注2% TNBS溶液(0.4 ml/只,40分钟完成)。对照组灌注等体积10%乙醇-PBS溶液。
- TNBS注射:通过微泵将溶于乙醇的TNBS溶液缓慢注入胆胰管内,注射量和注射速度需根据实验需求进行精确控制。注射过程中需维持一定的压力,以确保TNBS能够均匀分布于胰腺组织内。注射完成后,用动脉夹夹闭十二指肠端,维持压力一段时间(如30分钟),然后关闭腹腔。
- 术后护理与观察:术后对动物进行密切观察,确保其得到适当的护理和营养支持。在预定的时间点(如术后1周、2周、4周等)处死动物,取出胰腺组织进行组织学观察和其他相关检测。HE染色:评估炎症浸润及腺泡坏死程度。Masson染色:量化胶原沉积面积(蓝色区域)。免疫组化检测α-SMA(星状细胞活化标志)、TGF-β1、AT1受体表达。

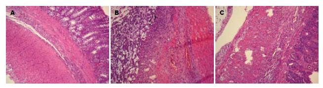
各组大鼠结肠组织HE染色(×200).
A: 正常对照组; B: 模型组; C: 大黄素组.

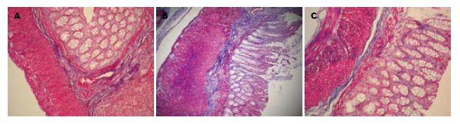
各组大鼠结肠组织Masson胶原三色染色(×100).
A: 正常对照组; B: 模型组; C: 大黄素组.

各组大鼠结肠TGF-β1、胶原Ⅰ、胶原Ⅲ、Smad3、α-SMA和E-cad mRNA表达比较 (mean±SD, %).
aP<0.05 vs 对照组; cP<0.05 vs 模型组.
三、注意事项
- TNBS浓度与剂量:TNBS的浓度和剂量需根据实验需求进行精确计算,TNBS浓度>2%或灌注过快可导致急性胰腺坏死,死亡率达30%。以避免剂量过大导致动物死亡或剂量过小无法形成胰腺纤维化。
- 手术操作:手术过程中需保持无菌操作,以避免感染。同时,插入注射针头时需确保位置正确,避免损伤其他组织。穿刺深度不足易致溶液外渗,需在手术显微镜下确认针头位置。
- 术后护理:术后需对动物进行密切观察,确保其得到适当的护理和营养支持。同时,需定期观察动物的精神状态、食欲和体重等指标,以评估其健康状况。
- 组织学观察:在取出胰腺组织后,需进行组织学观察以确认胰腺纤维化的形成。观察指标包括纤维化的面积、程度以及胰腺组织的形态和结构等。
四、模型特点与应用
- 模型特点:TNBS诱导的慢性胰腺纤维化模型具有诱发因素明确、操作方法简便、实验重复性好等优点。同时,该模型形成的胰腺纤维化在形态、组织学特点和病理过程等方面与人类慢性胰腺炎及其纤维化具有一定的相似性。
- 应用:该模型广泛应用于慢性胰腺炎及其纤维化的发病机制、药物治疗效果、胰腺保护机制等方面的研究。验证洛沙坦(AT1拮抗剂)、己酮可可碱(ERK抑制剂)的抗纤维化作用,适用于基因干预研究(如NF-κB siRNA抑制纤维化)。
五、模型总结:TNBS诱导的慢性胰腺纤维化模型具有病理进程可控、分子靶点清晰的优势,其纤维化形成率>85%。勋博生物通过标准化手术操作(穿刺深度0.5±0.1 mm,灌注速率0.01 ml/min)及严格的术后监护,确保模型稳定性(批内变异系数<15%)。
注:以上数据来源于田瑗, 郭晓琳, 王丽强, 李颖. 大黄素对TNBS诱导大鼠肠纤维化的影响. 世界华人消化杂志 2012; 20(28): 2703-2708 [DOI: 10.11569/wcjd.v20.i28.2703]
