勋博生物功能性消化不良模型

碘乙酰胺诱导功能性消化不良模型实验服务

勋博生物碘乙酰胺诱导功能性消化不良(functional dyspepsia,FD)模型构建方法是一种国际上较为公认的FD造模手段。

一、实验原理

碘乙酰胺作为一种化学试剂,能够通过灌胃方式给予实验动物(如大鼠),进而诱发其出现功能性消化不良的症状。这种造模方法模拟了胃敏感性升高、顺应性降低等病理表现,与临床上的功能性消化不良症状具有一定的相似性。

二、实验材料

    1. 实验动物:通常选用SD(Sprague Dawley)大鼠,因其易于饲养、繁殖快且对实验条件适应性强。
    2. 碘乙酰胺溶液:将碘乙酰胺溶于适宜的溶剂(如蔗糖溶液)中,配置成所需浓度的混合液。常用浓度为0.1%的碘乙酰胺与2%蔗糖的混合液。
    3. 其他材料:如注射器、灌胃针、无菌水、生理盐水、消毒用品、恒压器等。

三、实验步骤

    1. 动物准备:将SD大鼠称重并标记,术前禁食一段时间(通常为过夜),但不禁水。进行适当的麻醉处理(如需要),以确保动物在灌胃过程中处于稳定状态。但需注意,麻醉剂的选择和使用应不影响实验结果。
    2. 碘乙酰胺灌胃:根据大鼠的体重和实验设计,计算所需的碘乙酰胺溶液剂量。常用剂量为0.2ml/只(0.1%碘乙酰胺与2%蔗糖的混合液)。采用灌胃针将碘乙酰胺溶液注入大鼠胃内。灌胃过程中需注意操作轻柔,避免损伤大鼠食道或胃黏膜。记录灌胃时间,并连续灌胃数天(通常为6天),之后正常饲养大鼠至8~10周龄时造模完成。
    3. 对照组设置:设置对照组大鼠,给予相同体积的生理盐水或其他溶剂,以排除溶剂对实验结果的影响。
    4. 模型评估:在造模完成后,观察大鼠的一般状况,如体重变化、饮食情况、活动状态等。采用恒压器等仪器进行胃敏感性测试,评估大鼠胃的顺应性和敏感性变化。如有需要,还可进行血清学检测、病理学检查等,以进一步验证模型的成功构建。

各组大鼠10日龄至15日龄体重增长率比较

各组大鼠7周龄及8周龄体重比较

各组大鼠对不同压力胃扩张刺激的颈部肌电均方根变化率比较

各组大鼠对不同压力胃扩张刺激的颈部肌电图变化

各组大鼠胃顺应性比较

各组大鼠胃排空率比较

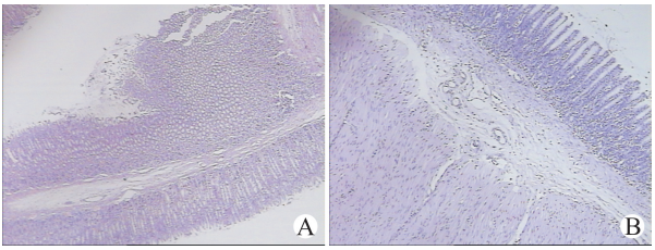
各组大鼠胃组织病理HE染色(×10),A:正常组;B:模型组

四、注意事项

    1. 给药剂量与时间:碘乙酰胺的给药剂量和时间需根据实验设计严格控制。剂量过低可能难以诱发功能性消化不良症状,而剂量过高可能导致大鼠死亡或并发其他病变。因此,在进行实验前应进行预实验,以确定合适的剂量范围。
    2. 灌胃操作:灌胃过程中需注意操作轻柔、准确,避免损伤大鼠食道或胃黏膜。同时,需确保灌胃针插入深度适宜,以免药液误入气管或肺部。
    3. 动物状态监测:在实验过程中需定期观察大鼠的状态,及时记录异常情况并处理。如出现体重下降、活动减少、食欲不振等异常情况,需及时调整给药剂量或停止给药。
    4. 模型验证:在造模完成后,需采用多种方法进行模型验证,以确保实验结果的准确性和可靠性。常用方法包括胃敏感性测试、血清学检测、病理学检查等。

五、模型特点与应用

    1. 模型特点:碘乙酰胺诱导的功能性消化不良模型具有制模方法相对简单、成本较低、病变典型等优点。同时,该模型能够较好地模拟临床上功能性消化不良的病理表现,因此具有广泛的应用价值。
    2. 应用:该模型广泛应用于功能性消化不良的发病机制研究、药物筛选和治疗策略评估等方面。通过该模型可以筛选具有治疗作用的药物或治疗方法,并评估其疗效和安全性。同时,该模型也可用于研究功能性消化不良与胃动力障碍、胃酸分泌异常等病理过程的关系,为临床治疗和预防提供实验依据。

六、模型总结

碘乙酰胺诱导功能性消化不良模型构建方法是一种可靠且常用的实验手段,可用于研究功能性消化不良的相关问题。在实验过程中需注意细节控制,以确保实验结果的准确性和可靠性。

滚动至顶部