肺气肿/肺心病动物模型
一、勋博生物肺气肿/肺心病模型分类与构建原理
肺气肿/肺心病动物模型基于不同病因学机制构建,主要分为四类:
蛋白酶诱导模型
-
- 原理:模拟人类肺气肿的蛋白酶-抗蛋白酶失衡学说。外源性蛋白酶(如弹性蛋白酶、木瓜蛋白酶)直接降解肺泡壁弹性纤维,导致肺泡结构破坏。
- 代表方法:气管内滴注弹性蛋白酶(剂量依赖型,如小鼠:3.0U/20g体重)。
吸烟诱导模型
原理:香烟烟雾中的自由基和炎症介质激活肺泡巨噬细胞,释放弹性酶并抑制α1-抗胰蛋白酶活性,引发慢性炎症与组织破坏。
化学诱导模型
原理:化学毒物(如镉、二氧化氮、脂多糖)直接损伤肺组织或诱发慢性炎症。镉可模拟人类职业暴露导致的肺气肿。
基因操作模型
原理:通过基因敲除(如Abhd2-/-小鼠)或转基因技术模拟遗传缺陷(如α1-抗胰蛋白酶缺乏),研究遗传因素在肺气肿发病中的作用。
二、勋博生物常用实验动物及选择依据
|
动物种类 |
选择依据 |
适用模型类型 |
|---|---|---|
|
小鼠 |
成本低、遗传背景清晰、易基因操作;C57品系对烟雾敏感,适合长期研究 |
吸烟诱导、基因操作模型 |
|
大鼠 |
肺表面积大、操作便捷;烟雾暴露后易形成纤维沉积 |
化学诱导、吸烟诱导模型 |
|
豚鼠 |
自然肺气肿发病率低,对过敏原敏感,适合支气管炎相关研究 |
化学诱导模型 |
|
金黄地鼠 |
对弹性蛋白酶反应显著,一次性滴注即可诱发稳定肺气肿 |
蛋白酶诱导模型 |
|
兔/非人灵长类 |
肺结构与人类相似,适合手术模拟(如肺减容术);但成本高、伦理限制 |
复合模型、临床转化研究 |
三、勋博生物模型构建方法与步骤
- 弹性蛋白酶诱导法(以小鼠为例)
- 麻醉动物(异氟烷吸入)→ 气管内滴注猪胰弹性蛋白酶(3.0U/20g体重,溶于50μL生理盐水)。
- 每周1次,重复4周(急性模型单次注射即可)。
- 监测体重变化(体重下降>20%提示模型过度损伤)。

弹性蛋白酶诱导法小鼠肺气肿动物模型
- 吸烟诱导法
- 动物置于烟雾暴露舱,每日暴露香烟烟雾(浓度:总颗粒物100-300mg/m³)。
- 持续暴露6-12个月(小鼠需24周以上才出现典型肺气肿)。
- 化学诱导及复合模型(强化效应)
实验动物选择:
-
-
- SD大鼠(雄性,6-8周龄,体重180-220g)。
- C57BL/6小鼠(雄性,8-10周龄)。
-
脂多糖(LPS)+ 烟熏
-
-
- 脂多糖(LPS)诱导急性炎症
大鼠:第1、14、28、42天经气管滴注LPS(200μg/200μL生理盐水)。
小鼠:第1、29天鼻腔滴注LPS(30μg/6μL生理盐水)。
- 脂多糖(LPS)诱导急性炎症
-
操作要点:麻醉动物后,用静脉套管针或微量注射器缓慢注入,避免呛咳导致药物分布不均。
被动吸烟诱导慢性损伤
大鼠:每日烟熏2次(8-10支香烟/次),每次30分钟,每周6天,持续8周(与LPS滴注日错开)。
小鼠:每日烟熏1次(10支香烟/次),每次30分钟,每周5天,持续4周。
设备要求:密闭烟熏箱,烟雾浓度均匀分布,雾粒直径<1μm以深入肺泡。
典型造模周期:
大鼠模型:第1天:首次LPS气管滴注。第2-42天:每日烟熏2次,LPS滴注日暂停烟熏。第43天:完成最后一次LPS滴注,总周期8周。
小鼠模型:第1天和第29天:鼻腔滴注LPS。第2-30天(除滴注日):每日烟熏1次,持续4周。
-
- 弹性蛋白酶+烟熏:烟雾暴露(7周)+ 气管内滴注弹性蛋白酶(1次),可缩短造模时间至7周,且病变更接近人类非均质性肺气肿。

动物气管滴注
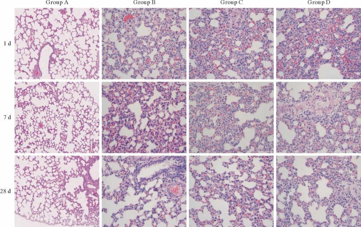
四、勋博生物模型有效性评估指标
- 病理学特征:HE染色,肺泡壁变薄、断裂,肺泡腔扩大融合形成肺大泡。支气管壁炎性细胞(中性粒细胞、巨噬细胞)浸润。平均内衬间隔(MLI)>50μm提示肺泡扩大;显著增大,提示肺泡结构破坏。
- 功能指标:肺功能检测,肺顺应性降低,呼气阻力增加。
- 运动耐力测试:模型组动物负重游泳时间显著缩短。
- 影像学评估:CT定量,低衰减区比例(LAA%)、第15百分位CT值(Perc 15)与肺气肿严重度正相关。
- 血流动力学(肺心病评估):平均肺动脉压(mPAP)>25mmHg、右心室肥大指数(RVHI)>0.3。

肺组织病理HE染色
五、勋博生物不同肺气肿/肺心病动物模型优缺点对比
|
模型类型 |
优点 |
缺点 |
|---|---|---|
|
弹性蛋白酶诱导 |
造模周期短(4周)、病变典型 |
急性损伤重,死亡率高;与人类慢性病程不符 |
|
吸烟诱导 |
最接近人类COPD病理过程 |
周期长(>6个月)、成本高、病变程度不稳定 |
|
基因操作 |
可研究特定基因机制(如Abhd2敲除) |
成本极高,表型可能不完整 |
|
化学诱导 |
操作简单(如镉暴露) |
毒性不可控,易并发其他器官损伤 |
六、勋博生物肺气肿/肺心病实验模型未来发展方向
- 多模型整合:吸烟+蛋白酶+基因修饰复合模型,同步模拟COPD多病理特征(肺气肿+小气道重塑)。
- 精准遗传模型:CRISPR-Cas9构建人源化基因动物(如α1-抗胰蛋白酶突变体)。
- 无创动态监测技术:高分辨率微型CT实现活体肺结构三维定量。
- 器官芯片与类器官:微流控肺芯片模拟肺泡-毛细血管屏障,减少动物使用。
